Phục hình răng sứ là phương pháp nha khoa thẩm mỹ và chức năng giúp khôi phục những chiếc răng bị sứt mẻ, sâu nặng, mòn men hoặc bị đổi màu nghiêm trọng. Với sự phát triển của công nghệ, việc phục hình răng sứ ngày nay không chỉ mang lại thẩm mỹ tự nhiên mà còn đảm bảo độ bền vượt trội.
Nha khoa Phương Đông với 13+ năm kinh nghiệm trong dịch vụ phục hình răng sứ bằng công nghệ CAD/CAM, tự tin mang đến cho quý khách những hàm răng bền đẹp, nụ cười rạng rỡ mà không gây cảm giác đau đớn, khó chịu.
>>> Để lại thông tin để được bác sĩ nha khoa Phương Đông tư vấn, thăm khám miễn phí!
1. Những trường hợp nào nên phục hình răng sứ?
- Răng bị sứt mẻ, vỡ lớn, đã áp dụng phương pháp trám răng nhưng không mang lại hiệu quả.
- Răng bị sâu lớn, ảnh hưởng đến chức năng ăn nhai.
- Răng đã điều trị tủy, răng bị mòn.
- Răng bị xỉn màu, nhiễm màu nặng.
- Form răng không chuẩn: răng thưa, răng lệch, răng bị hô và móm nhẹ, răng nhỏ quá mức,…
Nếu bạn đang gặp một trong những trường hợp trên, liên hệ ngay cho bác sĩ nha khoa Phương Đông qua số điện thoại 0375948979 để được tư vấn, thăm khám miễn phí và nhanh chóng sở hữu hàm răng đều đẹp, chắc khoẻ.

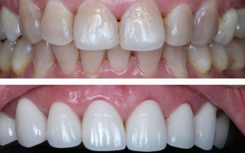
Phục hình răng sứ cho những trường hợp răng bị sứt, mẻ
2. Nha khoa Phương Đông ứng dụng công nghệ phục hình răng sứ CAD/CAM hiện đại nhất hiện nay
CAD/CAM được hiểu là công nghệ chế tạo răng sứ bằng kỹ thuật số. Với phương pháp này, bác sĩ sẽ sử dụng máy tính để thiết kế và sản xuất mão sứ, đảm bảo độ chính xác tuyệt đối, phù hợp với màu sắc, form răng tự nhiên và rút ngắn tối đa thời gian điều trị.
Ưu điểm vượt trội của công nghệ CAD/CAM:
- Độ chính xác cao: Công nghệ thiết kế mão sứ 3D kỹ thuật số đảm bảo khớp hoàn toàn với răng thật, giảm thiểu tối đa tình trạng cộm, kênh hay hở viền.
- Tính thẩm mỹ cao: Mô hình hóa trên máy tính cho phép điều chỉnh hình dáng, kích thước và màu sắc răng sứ một cách chi tiết, mang lại vẻ đẹp tự nhiên và hài hòa nhất.
- Nhanh chóng: Khách hàng có thể được chụp mão sứ ngay mà không cần qua quá trình lắp răng giả.
- Tuổi thọ cao: Răng sứ được chế tác từ vật liệu chất lượng cao, với công nghệ cắt phôi tự động, đảm bảo độ cứng chắc và tuổi thọ lâu dài.
>>> Liên hệ ngay 0375948979 để trải nghiệm quy trình thiết kế và phục hình răng sứ bằng công nghệ CAD/CAM tiên tiến nhất!
3. Quy trình phục hình răng sứ tiêu chuẩn
Một quy trình phục hình răng sứ chuyên nghiệp và tiêu chuẩn phải tuân thủ nghiêm ngặt các bước y khoa để đảm bảo kết quả tốt nhất và an toàn tuyệt đối cho khách hàng. Sau đây là các bước phục hình răng sứ tại nha khoa Phương Đông:
- Bước 1: Tiếp nhận thông tin và thăm khám, tư vấn. Sau khi tiếp nhận thông tin từ khách hàng, Phương Đông sẽ tiến hành khám tổng quát, chụp X-quang để đánh giá tình trạng răng và tư vấn phác đồ điều trị thích hợp.
- Bước 2: Mài cùi răng. Nha sĩ sẽ thực hiện mài một lớp mỏng bên ngoài răng để tạo chỗ cho mão sứ, đảm bảo tỷ lệ mài đúng chuẩn và không xâm lấn quá nhiều.
- Bước 3: Scan lấy dấu răng: Phương Đông sẽ sử dụng máy Scan để tạo ra mô hình răng chính xác cho việc chế tác.
- Bước 4: Chế tác mão sứ. Mão răng sứ được chế tác theo công nghệ CAD/CAM với độ chính xác và thẩm mỹ cao.
- Bước 5: Chụp mão răng sứ cố định.

Quy trình phục hình răng sứ tiêu chuẩn tại Phương Đông
👉 Đăng ký tư vấn chuyên sâu về phục hình răng sứ và đặt lịch hẹn khám miễn phí tại đây:
4. Tham khảo bảng giá phục hình răng sứ
Chi phí phục hình răng sứ phụ thuộc vào nhiều yếu tố: loại vật liệu sứ (toàn sứ hay sứ kim loại), công nghệ chế tác, và số lượng răng cần thực hiện. Tại nha khoa Phương Đông, quý khách sẽ được trải nghiệm dịch vụ phục hình răng sứ an toàn, nhanh chóng với công nghệ hiện đại nhất. Ngoài ra, dịch vụ phục hình sứ tại Phương Đông được thực hiện bởi các bác sĩ giỏi nhất. Tuy vậy, giá thành dịch vụ được đánh giá hợp lý, phù hợp với chất lượng dịch vụ và hiệu quả phục hình răng.
Để nhận được báo giá phục hình răng sứ chính xác và chi tiết nhất cho trường hợp của bạn (bao gồm các chương trình ưu đãi hiện có), quý khách vui lòng liên hệ trực tiếp nha khoa Phương Đông qua số điện thoại 0375948979.
>>> Tham khảo thêm: Nên tẩy trắng răng trong những trường hợp nào? Địa chỉ tẩy trắng răng uy tín
5. Tại sao nên lựa chọn dịch vụ phục hình răng sứ tại Phương Đông?
Lựa chọn nha khoa uy tín là yếu tố then chốt quyết định sự thành công và tuổi thọ của ca phục hình răng sứ. Tại Phương Đông, chúng tôi cam kết mang đến trải nghiệm chất lượng cao nhất:
-
- Đội ngũ y bác sĩ, điều dưỡng giỏi nhất: Các nha sĩ tại Phương Đông đều có kinh nghiệm lâu năm, được đào tạo chuyên sâu về phục hình và thẩm mỹ răng sứ. Trong đó, đứng đầu là Ths, BSNT Nguyễn Thị Thuý với 20+ năm kinh nghiệm trong lĩnh vực nha khoa.
- Công nghệ hiện đại nhất: Chúng tôi ứng dụng công nghệ CAD/CAM và các thiết bị chẩn đoán tiên tiến nhất, đảm bảo quá trình phục hình răng sứ diễn ra nhanh chóng, chính xác.
- Vật liệu sứ đa dạng: Nha khoa Phương Đông luôn cập nhật mới các dòng răng sứ CHÍNH HÃNG chất lượng cao, phù hợp với từng nhu cầu thẩm mỹ và ngân sách của mỗi khách hàng như: răng sứ NACERA Q3, ZICONIA, VENUS, ORODENT, DDBIO, LAVA PLUS, CERON,…
- Bảo hành lâu dài: Khách hàng được hưởng chế độ bảo hành rõ ràng, minh bạch cho dịch vụ phục hình răng sứ, mang lại sự an tâm tuyệt đối.
- Dịch vụ an tâm, chu đáo: Không gian Phương Đông được thiết kế hiện đại, khang trang mang đến cho bạn trải nghiệm thoải mái nhất. Ngoài ra, từ khâu tư vấn, thăm khám, điều trị và chăm sóc, bác sĩ và điều dưỡng đều có thái độ ân cần, nhẹ nhàng tạo cảm giác an tâm cho mọi khách hàng.

Nha khoa Phương Đông là địa chỉ phục hình răng sứ an toàn, hiện đại với chất lượng cao

Phong cách phục vụ chu đáo, tận tâm và ân cần
💎 Hãy để Phương Đông kiến tạo nụ cười hoàn hảo cho bạn! Đặt lịch hẹn tư vấn MIỄN PHÍ với chuyên gia phục hình răng sứ ngay hôm nay qua số điện thoại 0375948979.
>>> Đọc thêm: Nha khoa Phương Đông – Bí quyết giữ nụ cười rạng rỡ với phương pháp dán sứ veneer
—————————————————-
Phòng khám chuyên khoa Răng – Hàm Mặt – Nha khoa Phương Đông
🏘 Địa chỉ: Số 06, Lô A2 Shophouse 24h Vạn Phúc, đường Tố Hữu, phường Vạn Phúc, Quận Hà Đông, Hà Nội
🌐Email: phuongdongdental@gmail.com
Fanpage: https://www.facebook.com/PhuongDongdental
☎️ Hotline: 0985310727 – 0375948979